Hasta Hikayeleri
Kliniğimizde tedavi olan hastaların deneyimlerini ve başarı hikayelerini keşfedin. Her gülüş bizim için değerlidir.
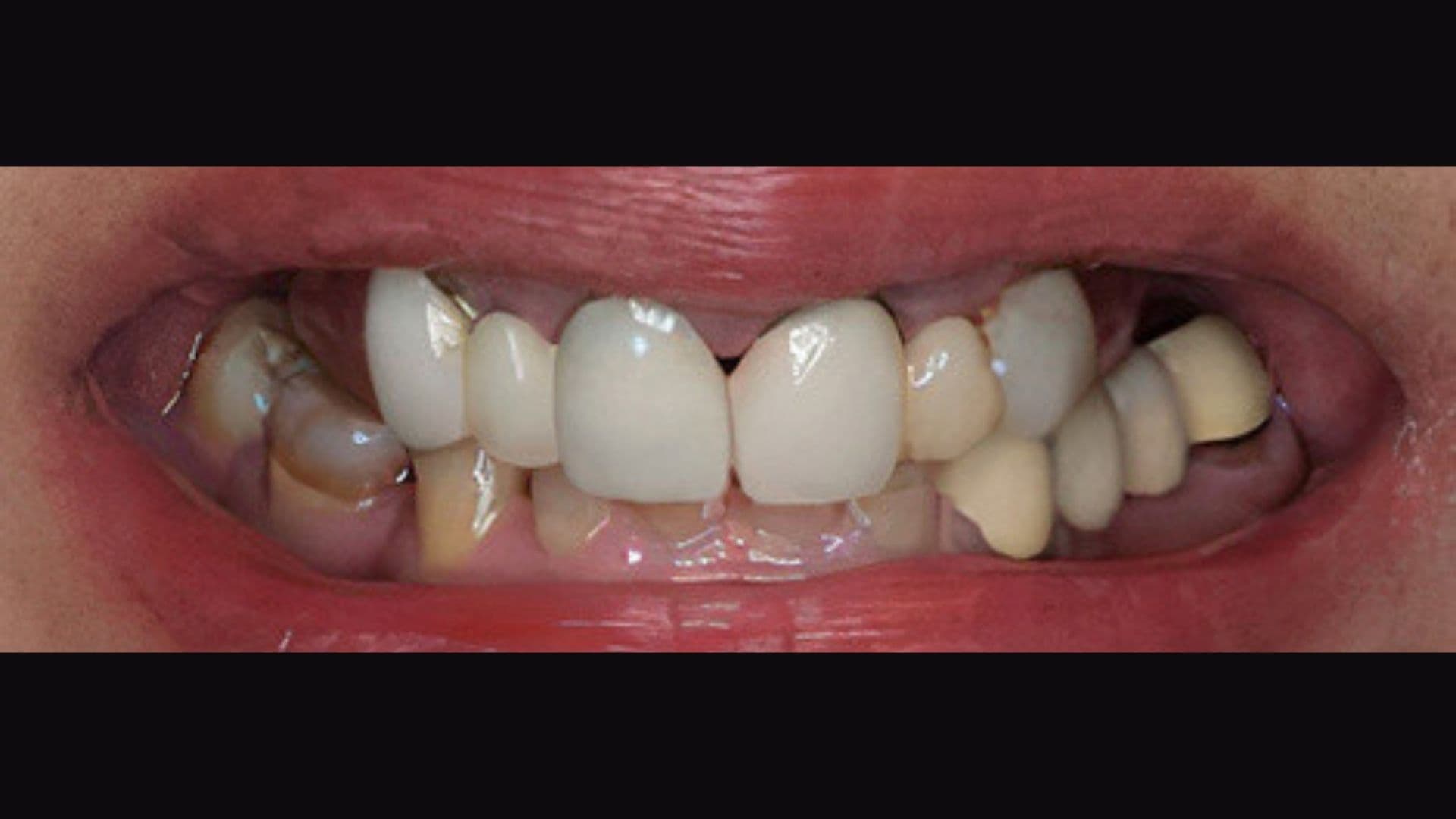
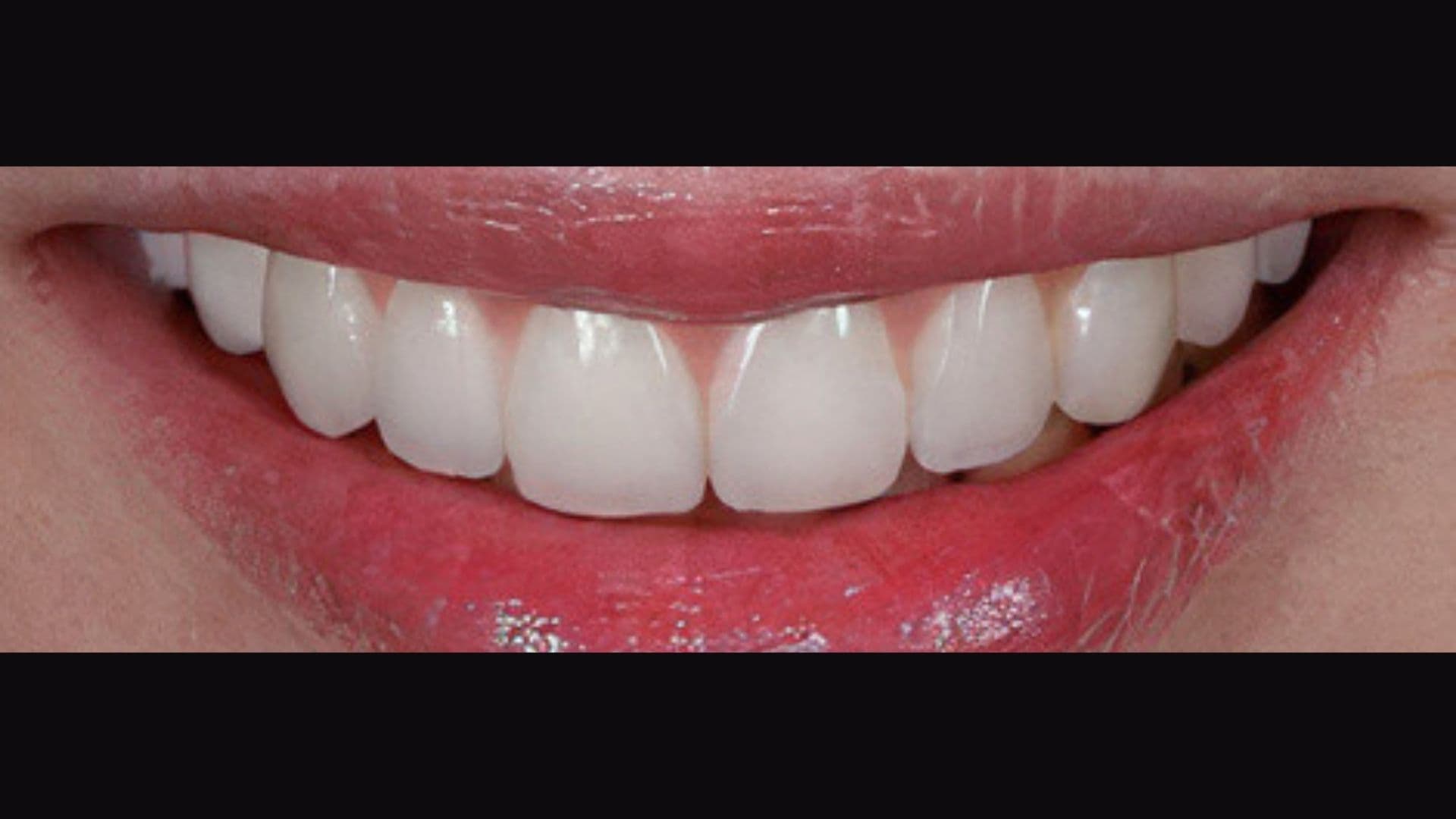
Ayşe Yılmaz
İmplant Tedavisi
"Uzun yıllar diş eksikliği nedeniyle yaşadığım özgüven problemlerinden implant tedavisi sayesinde kurtuldum. Dr. Ahmet Bey ve ekibi tedavi sürecinde çok profesyonel ve ilgiliydi. Artık gülümsemekten çekinmiyorum!"
Öne Çıkanlar
- Ağrısız tedavi süreci
- Doğal görünümlü sonuç
- Hızlı iyileşme
Öncesi / Sonrası


Mehmet Demir
Ortodonti Tedavisi
"Çapraşık dişlerim nedeniyle hep utangaçtım. Dr. Zeynep Hanım'ın uyguladığı şeffaf plak tedavisi ile 18 ayda mükemmel sonuçlar elde ettik. Tedavi sürecinde hiç zorlanmadım ve sonuç beklediğimden çok daha iyi oldu."
Öne Çıkanlar
- Şeffaf plaklar ile estetik tedavi
- Konforlu kullanım
- Kısa tedavi süresi
Öncesi / Sonrası


Zeynep Kaya
Diş Beyazlatma
"Sigara ve kahve tüketimi nedeniyle sararmış dişlerim vardı. Dr. Mehmet Bey'in uyguladığı beyazlatma tedavisi ile çok doğal bir beyazlığa kavuştum. İşlem sırasında hiç acı hissetmedim ve sonuç çok etkileyici!"
Öne Çıkanlar
- Tek seansta sonuç
- Hassasiyet yaratmayan uygulama
- Kalıcı beyazlık
Öncesi / Sonrası


Siz de Başarı Hikayelerimizden Biri Olun
Modern tedavi yöntemlerimiz ve uzman kadromuzla sizin için en uygun tedavi planını oluşturalım.